X射线骨龄仪:骨龄检测的价值与报告解读
文章出处:品源医疗 人气:387发表时间:2026-1-28 13:54:04
在儿童生长发育诊疗领域,骨龄检测是评估儿童发育状况、辅助疾病诊断与治疗的重要手段。精准的骨龄检测不仅能为临床诊疗提供科学依据,更能助力医疗机构提升生长发育相关疾病的诊疗效率与精准度。
一、骨龄检测的临床意义
二、骨龄检测设备:X射线骨龄仪
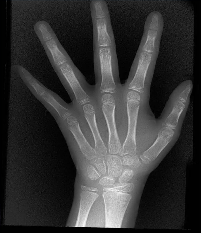
在骨龄检测实践中,X射线骨龄仪因检测精准、操作便捷、结果稳定等优势,成为医疗机构的主流选择,其价值在于为骨龄评估提供清晰、可靠的影像支撑。
1. 检测原理与优势
X射线骨龄仪通过拍摄儿童手腕部(指骨、掌骨、腕骨)的X射线影像,依据骨骼的形态、大小、钙化程度等特征,结合评估标准(如《中国青少年儿童手腕骨成熟度及评价方法》,简称《中华-05》标准)进行骨龄判定。相较于传统检测方式,X射线骨龄仪具有辐射剂量低、影像清晰度高、检测效率高的优势,能精准捕捉骨骼发育的细微变化,为骨龄评估的准确性提供保障。
2. 应用适配场景
三、骨龄检测报告常见指标解读
骨龄检测报告的精准解读是发挥其价值的关键。下面是报告中常见名词的解读要点:
- 骨龄百分位数:依据《中华-05》样本骨龄百分位数曲线计算得出,用于评估患儿骨龄在同龄人群中的发育位置,明确骨龄是否处于正常范围。
- 骨龄生长速度:即骨龄与实际年龄的比值,反映骨骼发育的速率,可辅助判断骨龄发育是否存在加速或迟缓情况。
- 身高百分位数:通过与同龄人群平均身高对比计算得出,直观反映患儿身高在同龄群体中的水平。
- BMI(体质指数):计算公式为“体重(kg)÷身高²(m²)”,用于评估患儿体型是否正常,排查肥胖或营养不良等可能影响生长发育的因素。
- 父母身高中值:计算方式为“(父亲身高+母亲身高)÷2”,反映患儿身高的遗传潜力基础。
- 靶身高:依据《中华-05》标准中的遗传身高公式计算得出,是基于遗传背景预测的患儿成年身高参考值。
骨龄检测在儿童生长发育诊疗中具有重要的临床价值,而精准的骨龄仪与专业的报告解读是发挥其价值的关键。充分的掌握骨龄检测的临床应用逻辑,结合优质检测设备与规范解读流程,为儿童生长发育相关疾病的诊疗提供更科学、精准的支撑。
一、骨龄检测的临床意义
骨龄是反映儿童真实生长发育水平的关键指标,为相关疾病诊疗提供重要支撑。它可助力身高异常疾病病因诊断,支撑矮小症等治疗的监护与疗效评估,还能精准评估生长发育及青春期突增状况,为早期干预提供依据。
二、骨龄检测设备:X射线骨龄仪
在骨龄检测实践中,X射线骨龄仪因检测精准、操作便捷、结果稳定等优势,成为医疗机构的主流选择,其价值在于为骨龄评估提供清晰、可靠的影像支撑。
1. 检测原理与优势
X射线骨龄仪通过拍摄儿童手腕部(指骨、掌骨、腕骨)的X射线影像,依据骨骼的形态、大小、钙化程度等特征,结合评估标准(如《中国青少年儿童手腕骨成熟度及评价方法》,简称《中华-05》标准)进行骨龄判定。相较于传统检测方式,X射线骨龄仪具有辐射剂量低、影像清晰度高、检测效率高的优势,能精准捕捉骨骼发育的细微变化,为骨龄评估的准确性提供保障。
2. 应用适配场景
X射线骨龄仪适用于儿童保健科、内分泌科、儿科等多个临床科室,可满足不同年龄段儿童的骨龄检测需求。无论是常规生长发育评估、身高异常筛查,还是疾病治疗后的疗效监测,其检测结果都能为临床诊疗提供标准化、可对比的科学数据,助力医疗机构提升诊疗规范化水平。
三、骨龄检测报告常见指标解读
骨龄检测报告的精准解读是发挥其价值的关键。下面是报告中常见名词的解读要点:
- 骨龄百分位数:依据《中华-05》样本骨龄百分位数曲线计算得出,用于评估患儿骨龄在同龄人群中的发育位置,明确骨龄是否处于正常范围。
- 骨龄生长速度:即骨龄与实际年龄的比值,反映骨骼发育的速率,可辅助判断骨龄发育是否存在加速或迟缓情况。
- 身高百分位数:通过与同龄人群平均身高对比计算得出,直观反映患儿身高在同龄群体中的水平。
- BMI(体质指数):计算公式为“体重(kg)÷身高²(m²)”,用于评估患儿体型是否正常,排查肥胖或营养不良等可能影响生长发育的因素。
- 父母身高中值:计算方式为“(父亲身高+母亲身高)÷2”,反映患儿身高的遗传潜力基础。
- 靶身高:依据《中华-05》标准中的遗传身高公式计算得出,是基于遗传背景预测的患儿成年身高参考值。
骨龄检测在儿童生长发育诊疗中具有重要的临床价值,而精准的骨龄仪与专业的报告解读是发挥其价值的关键。充分的掌握骨龄检测的临床应用逻辑,结合优质检测设备与规范解读流程,为儿童生长发育相关疾病的诊疗提供更科学、精准的支撑。
同类文章排行
- 品源医疗荣获国家级科技型中小企业称号:创新驱动,未来可期
- 第93届CMEF圆满收官,品源医疗携骨龄仪、骨密度仪等产品亮相医疗盛会
- X射线骨龄仪的操作难度大吗?医护人员需要专门培训吗?
- 春季长高速度是平时的2.5倍?X射线骨龄仪:用科学“导航仪”摸清孩子的生长潜力
- 春分生长季,关注孩子骨龄,守护成长节奏
- 品源医疗X射线骨龄仪,专为儿童骨龄测定设计,与骨龄检测灰色地带说拜拜
- 立春启新,骨龄藏韵,骨龄检测读懂骨骼成长密码
- 破解骨龄检测「效率瓶颈」:X射线骨龄仪助力医疗机构提升儿童发育评估诊疗率
- 大寒藏骨:冬之深蕴与儿童生长的秘密
- 安全・精准・高效:儿童骨龄检测的进阶之选——X射线骨龄仪
最新资讯文章
- 品源医疗的联系方式是什么?
- 品源医疗荣获国家级科技型中小企业称号:创新驱动,未来可期
- 第93届CMEF圆满收官,品源医疗携骨龄仪、骨密度仪等产品亮相医疗盛会
- X射线骨龄仪的操作难度大吗?医护人员需要专门培训吗?
- 春季长高速度是平时的2.5倍?X射线骨龄仪:用科学“导航仪”摸清孩子的生长潜力
- 春分生长季,关注孩子骨龄,守护成长节奏
- 品源医疗X射线骨龄仪,专为儿童骨龄测定设计,与骨龄检测灰色地带说拜拜
- 立春启新,骨龄藏韵,骨龄检测读懂骨骼成长密码
- 破解骨龄检测「效率瓶颈」:X射线骨龄仪助力医疗机构提升儿童发育评估诊疗率
- 大寒藏骨:冬之深蕴与儿童生长的秘密
- 安全・精准・高效:儿童骨龄检测的进阶之选——X射线骨龄仪
- 社区医院适合配备X射线骨龄仪吗?适用场景有哪些?
- 小寒惜暖意,关注骨龄助成长
- X射线骨龄仪适用哪些医疗机构?
- 采购X射线骨龄仪能为机构带来哪些核心价值?
- 品源医疗:以创新技术矩阵,构建全场景健康检测守护体系
- X射线骨龄仪选购:以关键指标锚定设备价值
- 世界儿童日|品源医疗萌系X射线骨龄仪用安全、精准、高效守护儿童健康成长
- 骨龄仪的检测部位是哪里?
- 精准评估,助力成长——大庆市人民医院成功引进品源医疗X射线骨龄仪BAD-Q1










苏公网安备 32039102000331号 